Cidade
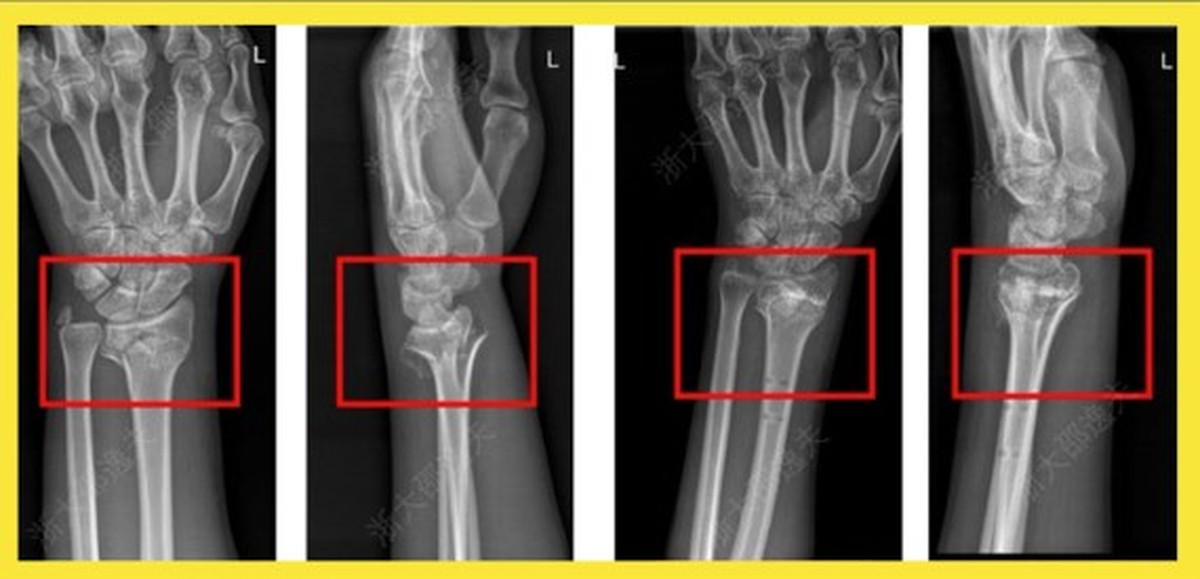
China diz ter revolucionado a ortopedia com ‘cola óssea’ que resolve fraturas ‘em minutos’
-
/home/portalcidadesrj/public_html/wp-content/plugins/mvp-social-buttons/mvp-social-buttons.php on line 120
- /home/portalcidadesrj/public_html/wp-content/plugins/mvp-social-buttons/mvp-social-buttons.php on line 123
- /home/portalcidadesrj/public_html/wp-content/plugins/mvp-social-buttons/mvp-social-buttons.php on line 126
- /home/portalcidadesrj/public_html/wp-content/plugins/mvp-social-buttons/mvp-social-buttons.php on line 129
https://portalcidadesrj.com.br/2025/09/28/china-diz-ter-revolucionado-a-ortopedia-com-cola-ossea-que-resolve-fraturas-em-minutos/&t=
Warning: Undefined variable $post in /home/portalcidadesrj/public_html/wp-content/plugins/mvp-social-buttons/mvp-social-buttons.php on line 120
Warning: Attempt to read property "ID" on null in /home/portalcidadesrj/public_html/wp-content/plugins/mvp-social-buttons/mvp-social-buttons.php on line 120
China diz ter revolucionado a ortopedia com ‘cola óssea’ que resolve fraturas ‘em minutos’', 'facebookShare', 'width=626,height=436'); return false;" title="Share on Facebook">
China diz ter revolucionado a ortopedia com ‘cola óssea’ que resolve fraturas ‘em minutos’ &url=
Warning: Undefined variable $post in /home/portalcidadesrj/public_html/wp-content/plugins/mvp-social-buttons/mvp-social-buttons.php on line 123
Warning: Attempt to read property "ID" on null in /home/portalcidadesrj/public_html/wp-content/plugins/mvp-social-buttons/mvp-social-buttons.php on line 123
https://portalcidadesrj.com.br/2025/09/28/china-diz-ter-revolucionado-a-ortopedia-com-cola-ossea-que-resolve-fraturas-em-minutos/', 'twitterShare', 'width=626,height=436'); return false;" title="Tweet This Post">
https://portalcidadesrj.com.br/2025/09/28/china-diz-ter-revolucionado-a-ortopedia-com-cola-ossea-que-resolve-fraturas-em-minutos/&media=
Warning: Undefined variable $post in /home/portalcidadesrj/public_html/wp-content/plugins/mvp-social-buttons/mvp-social-buttons.php on line 126
Warning: Attempt to read property "ID" on null in /home/portalcidadesrj/public_html/wp-content/plugins/mvp-social-buttons/mvp-social-buttons.php on line 126
https://portalcidadesrj.com.br/wp-content/uploads/2025/09/China-diz-ter-revolucionado-a-ortopedia-com-cola-ossea-que-590x354.jpg&description=
Warning: Undefined variable $post in /home/portalcidadesrj/public_html/wp-content/plugins/mvp-social-buttons/mvp-social-buttons.php on line 126
Warning: Attempt to read property "ID" on null in /home/portalcidadesrj/public_html/wp-content/plugins/mvp-social-buttons/mvp-social-buttons.php on line 126
China diz ter revolucionado a ortopedia com ‘cola óssea’ que resolve fraturas ‘em minutos’', 'pinterestShare', 'width=750,height=350'); return false;" title="Pin This Post">
China diz ter revolucionado a ortopedia com ‘cola óssea’ que resolve fraturas ‘em minutos’&BODY=I found this article interesting and thought of sharing it with you. Check it out:
Warning: Undefined variable $post in /home/portalcidadesrj/public_html/wp-content/plugins/mvp-social-buttons/mvp-social-buttons.php on line 129
Warning: Attempt to read property "ID" on null in /home/portalcidadesrj/public_html/wp-content/plugins/mvp-social-buttons/mvp-social-buttons.php on line 129
https://portalcidadesrj.com.br/2025/09/28/china-diz-ter-revolucionado-a-ortopedia-com-cola-ossea-que-resolve-fraturas-em-minutos/">
-
/home/portalcidadesrj/public_html/wp-content/plugins/mvp-social-buttons/mvp-social-buttons.php on line 120
- /home/portalcidadesrj/public_html/wp-content/plugins/mvp-social-buttons/mvp-social-buttons.php on line 123
- /home/portalcidadesrj/public_html/wp-content/plugins/mvp-social-buttons/mvp-social-buttons.php on line 126
- /home/portalcidadesrj/public_html/wp-content/plugins/mvp-social-buttons/mvp-social-buttons.php on line 129
https://portalcidadesrj.com.br/2025/09/28/china-diz-ter-revolucionado-a-ortopedia-com-cola-ossea-que-resolve-fraturas-em-minutos/&t=
Warning: Undefined variable $post in /home/portalcidadesrj/public_html/wp-content/plugins/mvp-social-buttons/mvp-social-buttons.php on line 120
Warning: Attempt to read property "ID" on null in /home/portalcidadesrj/public_html/wp-content/plugins/mvp-social-buttons/mvp-social-buttons.php on line 120
China diz ter revolucionado a ortopedia com ‘cola óssea’ que resolve fraturas ‘em minutos’', 'facebookShare', 'width=626,height=436'); return false;" title="Share on Facebook">
China diz ter revolucionado a ortopedia com ‘cola óssea’ que resolve fraturas ‘em minutos’ &url=
Warning: Undefined variable $post in /home/portalcidadesrj/public_html/wp-content/plugins/mvp-social-buttons/mvp-social-buttons.php on line 123
Warning: Attempt to read property "ID" on null in /home/portalcidadesrj/public_html/wp-content/plugins/mvp-social-buttons/mvp-social-buttons.php on line 123
https://portalcidadesrj.com.br/2025/09/28/china-diz-ter-revolucionado-a-ortopedia-com-cola-ossea-que-resolve-fraturas-em-minutos/', 'twitterShare', 'width=626,height=436'); return false;" title="Tweet This Post">
https://portalcidadesrj.com.br/2025/09/28/china-diz-ter-revolucionado-a-ortopedia-com-cola-ossea-que-resolve-fraturas-em-minutos/&media=
Warning: Undefined variable $post in /home/portalcidadesrj/public_html/wp-content/plugins/mvp-social-buttons/mvp-social-buttons.php on line 126
Warning: Attempt to read property "ID" on null in /home/portalcidadesrj/public_html/wp-content/plugins/mvp-social-buttons/mvp-social-buttons.php on line 126
https://portalcidadesrj.com.br/wp-content/uploads/2025/09/China-diz-ter-revolucionado-a-ortopedia-com-cola-ossea-que-590x354.jpg&description=
Warning: Undefined variable $post in /home/portalcidadesrj/public_html/wp-content/plugins/mvp-social-buttons/mvp-social-buttons.php on line 126
Warning: Attempt to read property "ID" on null in /home/portalcidadesrj/public_html/wp-content/plugins/mvp-social-buttons/mvp-social-buttons.php on line 126
China diz ter revolucionado a ortopedia com ‘cola óssea’ que resolve fraturas ‘em minutos’', 'pinterestShare', 'width=750,height=350'); return false;" title="Pin This Post">
China diz ter revolucionado a ortopedia com ‘cola óssea’ que resolve fraturas ‘em minutos’&BODY=I found this article interesting and thought of sharing it with you. Check it out:
Warning: Undefined variable $post in /home/portalcidadesrj/public_html/wp-content/plugins/mvp-social-buttons/mvp-social-buttons.php on line 129
Warning: Attempt to read property "ID" on null in /home/portalcidadesrj/public_html/wp-content/plugins/mvp-social-buttons/mvp-social-buttons.php on line 129
https://portalcidadesrj.com.br/2025/09/28/china-diz-ter-revolucionado-a-ortopedia-com-cola-ossea-que-resolve-fraturas-em-minutos/">
Continue Reading

