Ação, realizada pela Prefeitura do Rio, ocorreu na tarde deste sábado (28/09) Advertisement Receba notícias...
O Fluminense voltou a ganhar do Botafogo após mais de três anos — e nove partidas — e tirou sarro do rival nas redes sociais. Com...
As salas sensoriais construídas no Maracanã para atender pessoas com TEA (Transtorno do Espectro Autista) foram inauguradas neste domingo, no clássico entre Fluminense e Botafogo, pelo...
Mesmo jogando pior, o Fluminense achou um gol depois desse lance. Em boa troca de passes entre Acosta e Hércules, a bola espirrou na área do...
A empolgação da torcida com o momento do Vasco não se limita aos resultados recentes, pois também tem crescido o lobby pela presença de jogadores do...
Os trabalhadores da Toyota aprovaram neste domingo (28) a proposta de suspensão temporária dos contratos de trabalho, conhecida como layoff. A votação foi conduzida pelo Sindicato...
Advertisement Receba notícias no WhatsApp e e-mail Influenciador Henrique Barbosa com saquinho de doces de São Cosme e Damião – Foto: Reprodução...
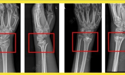
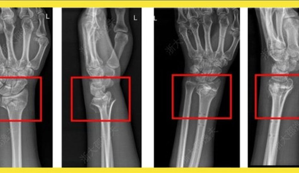
Em caso experimental, um paciente com fratura no punho recebeu uma injeção através de uma incisão de apenas 3 cm e foi curado em apenas três...
2025 cheio de grandes eventos no RJ (foto: Álvaro Tàllarico) Durante o Global Citizen Festival 2025, realizado em Nova York no último sábado (27), foi anunciado...
A Secretaria Municipal de Proteção e Defesa dos Animais vai criar um protocolo para notificar a Polícia Civil sobre atendimentos a animais baleados em unidades de...